(kod ICD-10: M20.1)
Wprowadzenie:
Paluch koślawy (łac. hallux valgus), potocznie określany jako haluks lub haluksy, to jedna z najczęstszych deformacji przodostopia, szczególnie w populacji kobiet. Schorzenie polega na bocznym odchyleniu palucha w kierunku pozostałych palców stopy oraz przyśrodkowym przemieszczeniu pierwszej kości śródstopia. Taka deformacja prowadzi do zaburzenia osi palucha, poszerzenia przodostopia, a w konsekwencji do przewlekłego bólu, stanów zapalnych oraz wtórnych patologii w sąsiednich strukturach stopy. Ze względu na swoją przewlekłość, tendencję do progresji oraz wpływ na funkcję chodu, paluch koślawy istotnie obniża komfort życia pacjentów.
Etiologia
(Przyczyny i czynniki ryzyka)
Bezpośrednie przyczyny powstawania palucha koślawego nie są w pełni poznane, ale na pewno wynikają z:
- zaburzenia biomechaniki przodostopia – a w istocie całej stopy,
- dysbalansu (zaburzenia równowagi) mięśniowo-więzadłowego wokół I promienia stopy.
Oprócz tego występuje także szereg czynników, które predysponują do powstania palucha koślawego. Są to:
- obciążenie genetyczne – rodzinne występowanie schorzenia, szczególnie w linii żeńskiej,
- niewłaściwe obuwie – wąskie noski i wysokie obcasy,
- “płaskostopie poprzeczne” oraz inne wady biomechaniczne stopy,
- choroby ogólnoustrojowe, np. reumatoidalne zapalenie stawów (RZS), choroby tkanki łącznej.
Patogeneza
(Opis procesów biologicznych prowadzących do schorzenia)
Patomechanizm powstawania palucha koślawego polega na postępującym zaburzeniu równowagi mięśniowej wynikającym m. in. z nadmiernej aktywności przywodziciela palucha połączonej z nieprawidłową funkcją jego zginacza. Do tego dochodzą równocześnie m.in. kwestie niestabilności stawu stępowo-śródstopnego pierwszego i czynniki zewnętrzne (np. nieodpowiedni dobór obuwia). W wyniku tego, stopniowo dochodzi do poszerzenia stopy i nasilenia koślawości palucha z towarzyszącą jego pronacją. Mamy także do czynienia z podwichaniem się trzeszczek i utratą ich stabilizacji. Narastająca deformacja prowadzi do coraz większych dolegliwości (np. mechanicznych konfliktów z obuwiem) oraz wtórnych zmian, takich jak np. palce młotkowate czy metatarsalgia.
Obraz kliniczny
(Szczegółowy opis objawów i ich dynamiki)
Objawy palucha koślawego są zazwyczaj jednoznaczne i trudne do przeoczenia. Najczęściej obejmują:
- widoczne, boczne odchylenie palucha i zaburzenie jego osi,
- bolesny guz przyśrodkowy w okolicy głowy I kości śródstopia; często objęty stanem zapalnym (zaczerwienienie, obrzęk kaletki),
- trudności w doborze obuwia i jego noszeniu, na późniejszym etapie ograniczenie aktywności fizycznej,
- zmiany towarzyszące – palce młotkowate, modzele podeszwowe i metatarsalgia.


Typy i odmiany
W zależności od przyczyn i wieku pacjenta rozróżnia się kilka postaci palucha koślawego:
- paluch koślawy młodzieńczy – najczęściej występuje u dziewcząt, zwykle z komponentą dziedziczną,
- paluch koślawy pierwotny (idiopatyczny) – rozwijający się bez uchwytnej przyczyny,
- paluch koślawy wtórny – jest powikłaniem wynikającym z chorób ogólnoustrojowych (np. RZS), urazów lub chorób nerwowo-mięśniowych,
- deformacje złożone – przypadki, w których występują inne patologie towarzyszące, np. przodostopie przywiedzione czy stopa płasko-koślawa.
Diagnostyka różnicowa
(Choroby o podobnych objawach)
W rozpoznaniu należy stwierdzić lub wykluczyć inne schorzenia, przede wszystkim:
- paluch sztywniejący (hallux rigidus) – brak lub nieznaczne koślawienie, ale obecne ograniczenie ruchomości deformacja (osteofit) grzbietu głowy pierwszej kości śródstopia,
- dna moczanowa (podagra) – ostry lub nawracający ból i obrzęk palucha bez deformacji osiowej,
- palec młotkowaty II palca – może dominować w obrazie klinicznym, maskując objawy palucha koślawego.
Postępowanie terapeutyczne:
Zachowawcze
W początkowych i umiarkowanych postaciach palucha koślawego stosuje się leczenie zachowawcze. Polega ono na:
- noszeniu miękkiego obuwia z szerokim przodostopiem na niskim obcasie lub płaskiego;
- używaniu ortez, separatorów i klinów międzypalcowych;
- stosowaniu wkładki ortopedycznej odciążającej I promień;
- fizjoterapii i edukacji ruchowej, które są najważniejszym elementem terapii zachowawczej.
Interwencyjne
W przypadku braku skuteczności leczenia zachowawczego lub znacznego nasilenia deformacji, których efektem jest znaczące ograniczenie komfortu życia, wskazane jest leczenie operacyjne. Dobór techniki operacyjnej jest uzależniony od stopnia deformacji, wieku i oczekiwań funkcjonalnych pacjenta.
Najczęściej obejmuje ono:
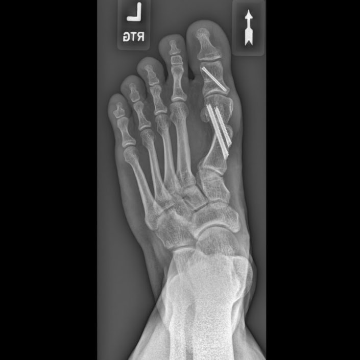
- osteotomie korekcyjne I kości śródstopia z wykorzystaniem takich technik operacyjnych jak Chevron, Scarf, Ludloff, czy osteotomie przypodstawne – często w połączeniu z osteotomią paliczka bliższego palucha (Akin),
- uwolnienia tkanek miękkich – więzadeł stabilizujących trzeszczkę boczną, czasem przywodziciela palucha i/lub inne,
- artrodezę Lapidusa, czyli usztywnienie stawu klinowo-śródstopnego pierwszego w odpowiedniej pozycji,
- artrodezę, czyli usztywnienie stawu śródstopno-palcowego pierwszego – stosowane głównie u pacjentów z chorobami reumatoidalnymi lub neurologicznymi oraz w przypadkach zaawansowanej deformacji.




Rokowanie
Leczenie chirurgiczne palucha koślawego umożliwia znaczącą poprawę funkcji stopy oraz jakości życia. Wczesne wdrożenie terapii zmniejsza ryzyko powikłań i progresji choroby. Nieleczona deformacja zwykle stopniowo się pogłębia, prowadząc do trwałych zmian w biomechanice stopy. Ryzyko nawrotu deformacji po przeprowadzonym zabiegu zależy od sytuacji wyjściowej, zastosowanej techniki operacyjnej oraz przestrzegania zaleceń pooperacyjnych.
Innowacje w terapii
Leczenie palucha koślawego podlega ciągłemu rozwojowi, mamy do czynienia z doskonaleniem metod istniejących i wprowadzaniem nowych. Zmiany zmierzają przede wszystkim w kierunku zmniejszenia inwazyjności i skrócenia czasu powrotu do sprawności. Nowoczesne podejście do leczenia palucha koślawego dotyczy między innymi:
- rozwoju małoinwazyjnych technik operacyjnych, np. MICA (Minimally Invasive Chevron/Akin),
- przedoperacyjnego planowania zabiegów operacyjnych które umożliwia precyzyjniejsze wykonanie osteotomii,
- stosowania nowoczesnych implantów zapewniających lepszą stabilizację, komfort i przyspieszoną rehabilitację oraz wykonywanie MRI bez konieczności ich usuwania,
- biologicznego wspomaganie gojenia.